忍者ブログ

審美歯科のセラミック

NINJA

10/29

Wed

2025

×

[PR]上記の広告は3ヶ月以上新規記事投稿のないブログに表示されています。新しい記事を書く事で広告が消えます。

08/24

Wed

2011

偶然小学校の同級生に会いました。

今日は仕事が休みで、家の近所をぶらぶら買い物をしていたら、小学校の同級生に会いました。
今年の10月から特許の情報会社を開業するそうで、頑張ってほしいです。
興味のある方はご覧ください。 パテントマップを安く利用できる会社アイデアビットというらしいです。

PR

08/23

Tue

2011

はてなブログ http://d.hatena.ne.jp/sirayuri30
オールセラミックの失敗しないブログ http://d.hatena.ne.jp/sirayuri30+allcera
歯周病ブログ http://blog.goo.ne.jp/fukushimahiroshi2011
審美歯科の専門ページ http://www.fukushima-sika2011.com/
livedoor blog http://blog.livedoor.jp/fukushima37/
jugem blog http://hiroshi-sika.jugem.jp/
269g blog http://fukushima-sika.269g.net/
fc2 blog http://sika2011.blog.fc2.com/
忍者 http://hiroshisika.fukuwarai.net/
ホームホワイトニング専門ページ http://d.hatena.ne.jp/sirayuri30+kakaku/
インプラント専門ページ http://implant-dental.jimdo.com/
東京の審美歯科ご案内 http://tokyo-sinbisika.jimdo.com/
オールセラミック専門ページhttp://www.all-ceramic.jimdo.com 
歯周病専門ページ http://www.sisyuubyou.org/
 seesaa blog http://fukushima-sika.seesaa.net/
サブライム ブログ http://fukushima-sika.sublimeblog.net/
ミブログ http://hiroshi-sika.meblog.biz/
dokyun blog http://hiroshi36.dokyun.jp
dti blog http://hiroshi35.dtiblog.com/
根の治療専門ページhttp://www.nenotiryou.jimdo.com
矯正の専門ページhttp://www.kyousei.jimdo.com/
虫歯の専門ページhttp://caries.jimdo.com/
ホワイトニングの専門ページhttp://whitening.jimdo.com/
訪問歯科診療の専門ページhttp://www.houmonnsika.jimdo.com

07/12

Tue

2011


セラミックで歯科治療 審美歯科

07/12

Tue

2011

審美歯科のセラミック治療 無料カウンセリング

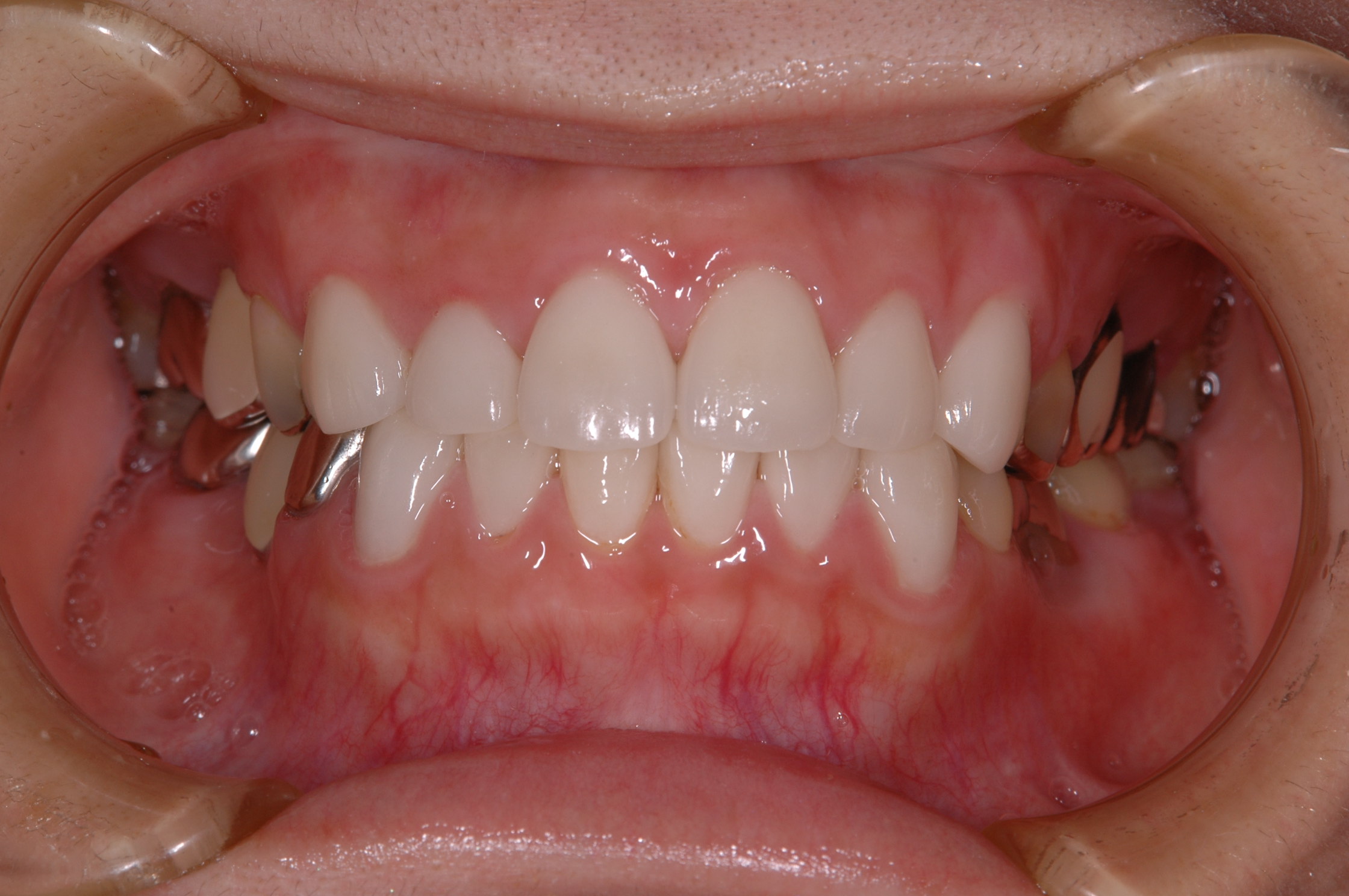
審美歯科ケース

画面右側の前歯が抜けてしまってオールセラミックのブリッジが入っています。
オールセラミックなので、透明感があり歯茎が黒ずむこともありません。

05/30

Mon

2011

歯周病がこんなに進行していたの! 歯周病の進行度 無料カウンセリング

歯周病は骨の吸収の進行度により軽度・中等度・重度に分類し、歯周病の進行具合によって、必要な治療法が変わってきます。

軽度の歯周病では、歯石を取り、しっかりとメンテナンスすることで進行を防げます。

中等度の歯周病では、歯周病の原因を解決する処置が必要になります。また、メンテナンスに入る前には、清掃しやすい環境にすることが重要です。

重度の歯周病では、歯の揺れを固定する必要が出てきたり、歯が抜けてしまっているときはインプラント治療などによって咬み合わせを安定することも重要です。また、再生治療によって骨を再生させる必要がある場合もあります。

歯周病は痛みがほとんどないですので、自覚しないうちに進行してしまい歯科にかかるときは、抜かなくてはいけない時であることがよくあります。

歯科医院で、定期的にレントゲンを撮影するなり、歯周ポケットを測定しないと、見た目はほぼ変わりませんので発見が遅れてしまいます。

歯周病は進行すればするほど治療が大変になり、進行するごとに期間・費用が跳ね上がります。初期のうちに治して、しっかりメンテナンスすることが大切です。

お問い合わせ

メール相談
hiroshi-fukushima@castle.ocn.ne.jp

担当 福嶋広

カレンダー

09 2025/10 11
S M T W T F S
1 2 3 4
5 6 7 8 9 10 11
12 13 14 15 16 17 18
19 20 21 22 23 24 25
26 27 28 29 30 31

フリーエリア

最新CM

最新TB

プロフィール

HN:
福嶋広
性別:
非公開

バーコード

ブログ内検索

P R

忍者アナライズ

Copyright © 審美歯科のセラミック : All rights reserved

TemplateDesign by KARMA7

忍者ブログ [PR]